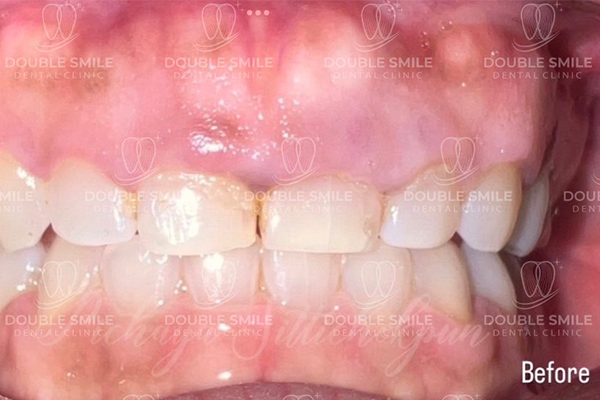
การที่เหงือกมีขนาดมากหรือดูเยอะอาจทำให้รูปลักษณ์ของฟันและรอยยิ้มดูไม่สมดุล ไม่สวยงามมากนัก ซึ่งบางกรณีอาจทำให้คนรู้สึกไม่มั่นใจในด้านความสวยงาม แต่การ ผ่าตัดเหงือก ออก (ที่เรียกว่า “การผ่าตัดเหงือกเพื่อการเสริมสร้างความสวยงาม” หรือ Gingivectomy) ไม่จำเป็นต้องทำเสมอไป ขึ้นอยู่กับหลายปัจจัย เช่น

1.การประเมินจาก ทันตแพทย์ : หากปัญหาเหงือกเยอะเกิดจากภาวะทางการแพทย์ เช่น เหงือกยุบหรือโรคเหงือก ทันตแพทย์อาจแนะนำการรักษาเช่น การทำความสะอาดเหงือกหรือการรักษาเพื่อควบคุมปัญหาดังกล่าวก่อนที่จะพิจารณาทางเลือกเพื่อความสวยงาม

2.ความจำเป็นทางการแพทย์ : หากเหงือกเยอะเกิดจากสาเหตุอื่นที่เกี่ยวข้องกับปัญหาทางทันตกรรม เช่น โรคเหงือกหรือการเติบโตของเนื้อเยื่อเหงือกที่ผิดปกติ อาจจำเป็นต้องทำการผ่าตัดเพื่อปรับรูปทรงเหงือกให้เหมาะสม

3.ผลลัพธ์ที่ต้องการ: หากจุดประสงค์หลักคือการปรับปรุงความสวยงามโดยการลดขนาดของเหงือกเพื่อให้ฟันดูยาวขึ้นและสมดุลมากขึ้น การผ่าตัดเหงือกอาจเป็นทางเลือก แต่ควรปรึกษาทันตแพทย์ผู้เชี่ยวชาญด้านการศัลยกรรมช่องปากหรือทันตกรรมเสริมสวย

1.วัยรุ่นและวัยผู้ใหญ่ตอนต้น (ประมาณ 18-35 ปี คนในวัยนี้มักเป็นกลุ่มที่ต้องการปรับปรุงความสวยงามของฟันและเหงือกเพื่อความมั่นใจในรอยยิ้ม โดยเฉพาะอย่างยิ่งในกรณีที่มีปัญหาเหงือกเยอะหรือ “เหงือกบังฟัน” (gummy smile) ซึ่งอาจทำให้ฟันดูสั้นลงและไม่สมดุล การผ่าตัดเหงือกเป็นทางเลือกที่ช่วยให้ฟันดูยาวขึ้นและรูปลักษณ์ดีขึ้น

2.วัยกลางคน (ประมาณ 35-50 ปี) คนในวัยนี้อาจทำการผ่าตัดเหงือกเพื่อปรับปรุงรูปลักษณ์ของเหงือกหลังจากที่มีการเปลี่ยนแปลงของโครงสร้างเหงือกตามอายุ เช่น เหงือกยุบลงหรือฟันที่ไม่สมดุลหลังการเสื่อมของเหงือก

3.วัยสูงอายุ (50 ปีขึ้นไป) ในบางกรณี ผู้สูงอายุอาจต้องการผ่าตัดเหงือกหากมีปัญหาเกี่ยวกับการเสื่อมของเหงือกหรือความเสื่อมของฟันที่ทำให้เหงือกดูไม่สมดุล หรือหากมีปัญหาโรคเหงือกที่ต้องรักษาและปรับรูปร่างเหงือก

เลือกคลินิกที่เชี่ยวชาญ มั่นใจได้ เข้าใจพร้อมให้คำปรึกษาเรื่องฟัน เหงือกและช่องปากอย่างถูกต้องที่ Double Smile คลินิกที่ดีที่สุดในช่วงเวลานี้ ครบครันเรื่องบริการ จบปัญหาที่สงสัย ตัดเหงือกที่ไหนดี ผ่าฟันคุดที่ไหนดี รวมไปถึงบริการฟอกสีฟันที่ไหนดี ครบวงจน ดูแลเรื่องฟันในที่เดียว พร้อมรับรอยยิ้มที่สวยงามยิ่งกว่าเดิมไปกับเราที่ Double Smile
Facebook : Double Smile Dental Clinic คลินิกทันตกรรมดับเบิลสไมล์ ทำฟัน จัดฟัน
Instagram :doublesmiledentalclinic
Youtube : Double Smile Dental Clinic
Tik tok : @doublesmile.dentalclinic
Website : doublesmiledentalclinic.com
Line official : @dsdc
Tel : 087-650-9999 หรือ 065-147-6999
เปิดให้บริการ ทุกวัน 10.00 – 20.00 น.
คลินิกทันตกรรมดับเบิลสไมล์ (ใน Caltex station รามอินทรา กม. ที่ 14 เยื้อง รร.เศรษฐบุตรบำเพ็ญ)
72/5 ถ.รามอินทรา แขวงมีนบุรี เขตมีนบุรี กทม 10510
Caltex Station 72/5, 1 ถ. รามอินทรา มีนบุรี กรุงเทพมหานคร 10510
ในปั้มน้ำมันคาลเท็กซ์ รามอินทรา กม. 14 อยู่ระหว่างซอยรามอินทรา 84 และ 86 เยื้องโรงเรียนเศรษฐบุตรบำเพ็ญ
การเดินทางมาคลินิกแต่ละช่องทาง